自家歯牙移植用レプリカ(3Dモデル)

本サービスは、CT/CBCTデータから移植歯の形状を正確に再現した自家歯牙移植用レプリカです。
臨床では 移植歯ダミー(移植床形成用ダミー)や 3Dレプリカ、歯牙レプリカとも呼ばれます。

主な用途(移植歯ダミー/3Dレプリカ)

自家歯牙移植用レプリカ症例1-1 自家歯牙移植用レプリカ症例1-2

料金

3Dレプリカ(1歯):8,500円(税込)

3Dレプリカ(造影剤有・1歯):9,000円(税込)

移植歯比較シミュレーション:5,000円(税込)

納期:データ受信後 約1週間

データ送信はこちらをクリック。送信ページに移動します

郵送の場合は下記にお願いいたします

〒343-0845 埼玉県越谷市南越谷4-9-6 新越谷プラザビル203

Tel 048-961-8151

E-mail shibuya8020@gmail.com

CTデータはメールでは受送信できませんので大容量ファイル転送サービスをご利用ください↓

ギガファイル便

または郵送にてUSB、SDカードなどでデータをお送りください

自家歯牙移植とは

自家歯牙移植症例ページ

自家歯牙移植用レプリカ

自家歯牙移植用レプリカの役割

3Dレプリカとは、移植歯のCTデータから作成された精密な複製モデルです。これを使用することで:

  • 移植前に移植床を正確に形成できるため、移植歯の抜歯後の移植時間を大幅に短縮できます。
  • より精密な移植床の形成が行えるため、必要以上の削合がなくなる
  • 移植歯の口腔外時間のを短くできるため、移植に重要な役割を持つ歯根膜へのダメージを最小限に抑えられる
  • 歯根膜(特にマラッセの上皮遺残)の保護
  • 歯根未完成歯の場合はヘルトヴィッヒ上皮鞘の保護も重要
  • 術前にレプリカを製作するため予測可能性は向上し、事前に移植シミュレーションが可能(歯の回転や位置調整など)

レプリカを用いた自家歯牙移植は、従来法と比較してより成功率が高く
患者さまにとってもメリットの大きい先進的な治療法です。

従来の方法(レプリカなし)では:

  • 移植歯を抜歯後、その歯を合わせながら移植床を形成する必要があった
  • 処置時間が長くなり、歯根膜が損傷するリスクが高かった

3Dレプリカとは移植歯の抜歯前に移植歯が入りやすくするために移植床を形成するためのレプリカです。
移植において最も大切な組織は「歯根膜」ですので移植する歯の「歯根膜」にダメージを与えないことが大事です。
レプリカを事前に準備しておくことで移植歯を抜歯し短時間で移植床に植立でき成功率を上げることができます。
短時間で適切な深さ、隙間を空けて移植するためには正確なドナーレプリカ(3Dレプリカ)は欠かせません。

3Dレプリカを活用することで、自家歯牙移植の成功率を大幅に向上させることができます。

【症例 1】自家歯牙移植(デジタル・ドナーレプリカ使用)

【画像提供】 熊本県合志市:楓の森歯科クリニック Dr.白濱 義将

右下8番→左下6番の自家歯牙移植|CBCT(DICOM)→ STL → 3Dプリント(造影剤あり)

本症例では、CBCT(DICOM)データから抽出したドナー歯形状を STL変換 → CAD/CAM/3Dプリンタで出力した デジタル・ドナーレプリカ(移植歯ダミー/3Dレプリカ)を用いて、 移植床形成の事前シミュレーションを実施。
これにより 口腔外時間の短縮歯根膜の温存に配慮しつつ、 移植床の適合精度を高めました。

目的
移植床形成の精度向上、口腔外時間短縮、歯根膜温存、術前説明の可視化
使用データ/工程
CBCT(DICOM)→ セグメンテーション → STL → CAD/CAM/3Dプリンタでドナーレプリカを作製
結果
移植床への試適がスムーズになり、咬合・適合ともに良好
デジタル・ドナーレプリカ(移植歯ダミー)を用いた移植床形成シミュレーション:症例1-1
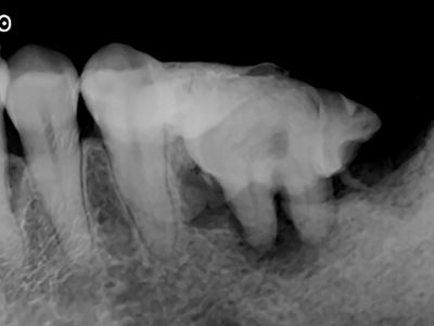
左下6番X線画像
移植歯レプリカの試適(移植床の適合確認):症例1-2
左下6番抜歯
移植床形成の事前シミュレーション(ドナーレプリカ使用):症例1-3
ドナーレプリカ使用し移植床形成
口腔外時間短縮と歯根膜温存を意識した術式:症例1-4
X線にて移植床形成量を確認
移植後の適合評価:症例1-5
レプリカと抜歯した右下8番との比較
移植歯の固定と咬合調整:症例1-6
右下8番を左下6番部に植立
術後評価(咬合・適合良好):症例1-7
術後評価(咬合・適合良好)
デジタル・ドナーレプリカ活用のメリットまとめ:症例1-8
術後のX線画像

【症例2】自家歯牙移植(デジタル・ドナーレプリカ使用)

【画像提供】 熊本県合志市:楓の森歯科クリニック Dr.白濱 義将

左下8番→左下6番に180度回転させ自家歯牙移植を行った|CBCT(DICOM)→ STL → 3Dプリント(造影剤あり)

初診時の口腔内所見:症例2-1
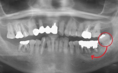
術前X線画像(パノラマ)
術前X線画像:症例2-2
術前X線画像
ドナー歯データ抽出(舌側面観):症例2-3
ドナー歯データ抽出(舌側面観)
左下8番、左下6番部移植床:症例2-4
左下8番、左下6番部移植床
レプリカにて移植床を形成:症例2-5
レプリカにて移植床を形成
左下8番(ドナー歯)とレプリカ:舌側面観:症例2-6
左下8番(ドナー歯)とレプリカ:舌側面観
左下8番(ドナー歯)とレプリカ:頬側面観:症例2-7
左下8番(ドナー歯)とレプリカ:頬側面観
術後:移植歯の固定を行う:症例2-8
術後:移植歯の固定を行う
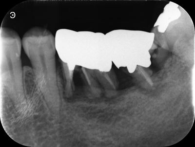
術後X線画像:症例2-9
術後:X線画像

3週間後の経過

3週間後の口腔内所見:症例2-9
3週間後のX線画像:症例2-10

補綴処置後

補綴処置後の口腔内所見:症例2-11
移植後左下6番部をセラミックにて補綴
補綴処置後のX線画像:症例2-12
補綴処置後のX線画像

【症例 3】

【画像提供】 長崎県長崎市:にしむらデンタルケアクリニック Dr.西村 孝人

右上8番を右上7番に移植 造影剤有りのレプリカ使用

自家歯牙移植用レプリカ症例2-1
術前画像
自家歯牙移植用レプリカ症例2-2
右上7番抜歯
自家歯牙移植用レプリカ症例2-3
レプリカにて移植床の確認
自家歯牙移植用レプリカ症例2-4
X線にて移植床形成量を確認
自家歯牙移植用レプリカ症例2-5
右上8番(ドナー歯)抜歯
自家歯牙移植用レプリカ症例2-6
右上7番部に右上8番を移植
自家歯牙移植用レプリカ症例2-7
移植歯を固定
自家歯牙移植用レプリカ症例2-8
術後X線画像

支台築造、補綴物装着

自家歯牙移植用レプリカ症例2-9
術後、補綴処置
自家歯牙移植用レプリカ症例2-10
補綴物装着

【症例 4】

【画像提供】 熊本県合志市:楓の森歯科クリニック Dr.白濱 義将

左下8番を右下6番に移植 造影剤有りのレプリカ使用

自家歯牙移植用レプリカ症例3-1
術前移植床
自家歯牙移植用レプリカ症例3-2
レプリカ試適にて移植床の確認
自家歯牙移植用レプリカ症例3-3
左下8番(ドナー歯)抜歯準備
自家歯牙移植用レプリカ症例3-4
左下8番を右下6番に移植
自家歯牙移植用レプリカ症例3-5
ドナー歯固定
自家歯牙移植用レプリカ症例3-6
術後
自家歯牙移植用レプリカ症例3-7
ドナー歯とレプリカの比較
自家歯牙移植用レプリカ症例3-8
ドナー歯とレプリカの比較

【症例 5】

【画像提供】 熊本県合志市:楓の森歯科クリニック Dr.白濱 義将

左下8番を左下6番に移植

自家歯牙移植用レプリカ症例4-3
レプリカにて移植床の確認
自家歯牙移植用レプリカ症例4-4
レプリカにて移植床の確認
自家歯牙移植用レプリカ症例4-5
左下8番を左下6番に移植
自家歯牙移植用レプリカ症例4-6
左下8番を左下6番に移植
自家歯牙移植用レプリカ症例4-1
ドナー歯とレプリカの比較
自家歯牙移植用レプリカ症例4-2
ドナー歯とレプリカの比較

自家歯牙移植症例ページ

※画像掲載について:先生と患者さまの許可をいただいております